REJESTRACJA +48 606 600 601

STOMATOLOGIA ESTETYCZNA

Piękny i prosty uśmiech, to marzenie wielu z nas, to wyznacznik zdrowia, szczęścia oraz osobowości. Nic tak nie ociepla naszego wizerunku jak szczery uśmiech, prosto z serc. Stomatologia estetyczna pozwala na spełnienie tych marzeń.

Sam implant na tym etapie nie uzupełnia braku w uzębieniu. Pełna funkcjonalność zapewniona jest dopiero po zamocowaniu w implancie korony, mostu lub protezy. W części protetycznej uzupełniania uśmiechu – wykonywanej po pełnym procesie osteointegracji – możliwe jest założenie nowego zęba lub zębów.

Zastanawiasz się, co to są licówki? A może chcesz dowiedzieć się, czy jest to rozwiązanie odpowiednie dla Ciebie? W tym poradniku znajdziesz kilka przydatnych informacji na temat rodzajów licówek, ich zastosowań oraz tego, jak się je zakłada. Jeśli będziesz mieć dodatkowe pytania, zachęcamy do kontaktu z nami.

LICÓWKI

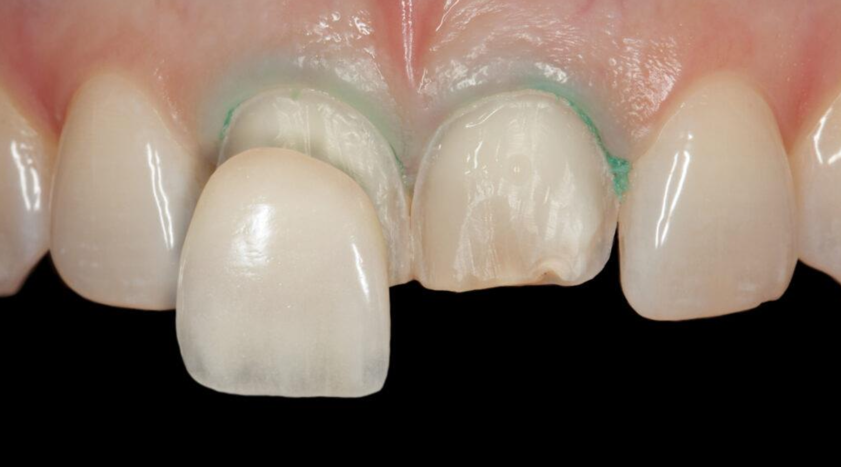
Licówki są to bardzo cienkie, nakładki, które są przyklejane za pomocą specjalnego kleju do przedniej (czyli licowej) powierzchni zębów. Pozwalają one w szybki i bezbolesny sposób poprawić kolor oraz kształt uzębienia, a pacjentom z niewielkimi wadami zgryzu dają szansę na uniknięcie leczenia ortodontycznego. W zależności od tego, z jakich materiałów zostały wykonane, wygląd licówek może do złudzenia przypominać naturalne uzębienie. Pod tym względem najlepsze, a także najtrwalsze są nakładki zrobione z ceramiki lub porcelany.

Licówki zalecane są w szczególności do:

  • Maskowania przebarwień, zwłaszcza tych uciążliwych, które nie znikają mimo wcześniejszych prób wybielania;
  • Odbudowy złamanego lub ukruszonego zęba;
  • Przykrycia mało estetycznych wypełnień na powierzchniach licowych;
  • Korekty diastemy;
  • Korekty niewielkich wad zgryzu;
  • Zmiany lub poprawy kształtu zęba
  • Zmiana długości zęba
EURO DENTAL SKÓRZEWO
LICÓWKI SKÓRZEWO

RODZAJE LICÓWEK

Licówki ceramiczne– zrobione są z ceramik skaleniowych (krzemionki, kwarcu, kaolinu) i barwników. Charakteryzują się dużą twardością i trwałością – jest to rozwiązanie na lata. Nakładki ceramiczne, podobnie jak porcelanowe, wyglądem przypominają naturalne uzębienie. Wyróżnia je niska podatność na osadzanie się płytki nazębnej, co ma korzystny wpływ na stan dziąseł.

Licówki porcelanowe – wykonane są z masy porcelanowej. Cechuje je bardzo duża trwałość, twardość i elastyczność oraz odporność na przebarwienia i osadzanie się kamienia nazębnego. Licówki porcelanowe są najcieńsze spośród wszystkich wariantów nakładek.

Zalety:

  • Zaletą tego rozwiązania protetycznego jest oszczędna redukcja tkanek zęba, która wynosi od 17 do 30% na powierzchni licowej. Oczywiście sposób preparacji zęba uzależniony jest od indywidualnej sytuacji uzębienia Pacjenta.
  • Licówki ceramiczne są atrakcyjną alternatywą dla koron, ponieważ charakteryzuje je duża odporność na ścieranie.
  • Bardzo dobry efekt estetyczny i bio-neutralność materiału z jakiego są wykonane.

Przeciwwskazania:

  • Niektóre zaburzenia okluzyjne
  • Parafunkcje zgryzowe i zwarciowe, takie jak szkodliwe nawyki. powodują zbyt duże naciski na uzupełnienia (obgryzanie paznokci, bruksizm).
  • Pacjent nie potrafiący utrzymać właściwej higieny jamy ustnej.
  • Niestety nie u każdego pacjenta można je zastosować.

WYBIELANIE ZĘBÓW

Wybielanie zębów polega na zmianie naturalnego koloru zębów na jaśniejszy. Jest to najszybszy i najpopularniejszy zabieg z zakresu stomatologii estetycznej, dzięki któremu nasze zęby odzyskają śnieżnobiały odcień. Zabieg wybielania zębów jest przeprowadzany w naszej klinice przez wykwalifikowaną higienistkę stomatologiczną z użyciem profesjonalnych, dedykowanych preparatów.

Zabieg wybielania zawsze poprzedza konsultacja, dzięki której możemy ocenić stan zdrowia jamy ustnej i przeprowadzić dokładny wywiad z pacjentem. Zdrowe zęby i dziąsła są warunkiem skutecznego efektu wybielania. Jeżeli pojawi się taka potrzeba, nasi pacjenci umawiani są do specjalisty stomatologii zachowawczej. Natomiast standardem w naszej klinice jest wykonanie profesjonalnej higienizacji zębów przed poddaniem Pacjenta procesowi wybielania.

Jak wygląda proces wybielania zębów?

Obecnie najskuteczniejszy system do wybielania zębów w gabinecie jest przeprowadzany za pomocą lampy. Z sukcesami stosujemy go nawet u pacjentów z nadwrażliwością, którzy wcześniej nie mogli korzystać z metod wybielania gabinetowego. Polega on na nałożeniu dedykowanego żelu wybielającego na samą powierzchnię zębów, który jest aktywowany przez niebieskie światło lampy. Składniki żelu przechodzą przez szkliwo do zębiny i w wyniku utleniania zęby błyskawicznie stają się jaśniejsze. Cykl składa się z czterech, następujących po sobie sesji, które trwają po 15 min.

stomatologia estetyczna, wybielanie zębów poznań
wybielanie poznan

Zabieg wybielania krok po kroku:

Krok 1: Przed zabiegiem oceniamy aktualny kolor Twoich zębów, wykorzystując w tym celu specjalny, zębowy kolornik.

Krok 2: Prosimy o nałożenie gogli ochronnych, na usta nakładamy wazelinę (po to aby ochronić usta przed wysuszeniem) oraz prosimy o nałożenie specjalnego rozwieraka w przedsionek jamy ustnej i maseczki na twarz.

Krok 3: Zabezpieczamy dziąsła.

Krok 4: Dokładnie aplikujemy wybielający żel, za pomocą precyzyjnej strzykawki na powierzchnię zębów.

Krok 5: Włączamy lampę i rozpoczynamy proces wybielania.

Krok 6: Czterokrotnie naświetlamy zęby pokryte preparatem. Są to 4 sesje po 15 minut.

Krok 7: Wyjmujemy rozwierak i oceniamy rezultaty wybielania. Wybielanie lampą to najdoskonalszy sposób na otrzymanie natychmiastowych efektów na zniewalający i biały uśmiech.

Wybielanie nakładkowe

Metoda nakładkowa jest to system, który polega na stosowaniu indywidualnie i idealnie dopasowanej nakładki do łuków zębowych Pacjenta wraz z dedykowanym do wybielania żelem. W zależności od dopasowanego stężenia preparatu wybielającego można ją stosować w dzień lub w nocy. Podobnie jak w wybielaniu gabinetowym przed rozpoczęciem procedury niezbędna jest wizyta w gabinecie stomatologicznym, podczas której wykwalifikowana higienistka sprawdzi, czy stan zębów Pacjenta pozwala na zastosowanie tej metody i profesjonalnie przygotuje zęby na zabieg higienizacji. Kolejnym krokiem jest wykonanie wycisków, na podstawie których nasze laboratorium protetyczne wykona spersonalizowane nakładki.

Na kolejnej wizycie pacjent otrzymuje gotowy zestaw do wybielania w zaciszu swojego domu oraz bardzo dokładnie zostaje poinstruowany w temacie stosowania nakładek z żelowym preparatem . Czas trwania wybielania nakładkowego to okres około dwóch tygodni.

Stosowanie nakładek krok po kroku:

Krok 1: W zagłębienia nakładki wyciskamy odpowiednią ilość preparatu wybielającego.

Krok 2: Umieszczamy nakładkę na wcześniej umytych zębach i odpowiednio silnie ją naciskamy.

Krok 3: Nakładkę nosimy przez całą noc. Jeżeli wybielamy w systemie dziennym jest to czas ok. 3 godzin.

Bardzo ważne jest, aby po zakończeniu procedury pojawić się w gabinecie stomatologicznym w celu kontroli po wybielaniu oraz wypolerowania zębów, aby uśmiech jeszcze bardziej nabrał zniewalającego blasku. Należy pamiętać, że całkowity efekt wybielania jest widoczny po 14 dniach. W tym okresie należy przestrzegać odpowiedniej, białej diety, aby zęby nie zabarwiły się od nieodpowiednich produktów spożywczych.

wybielanie zebow skorzewo

Dlaczego wybielanie daje tak długotrwałe efekty i jest bezpieczne?

Stosujemy metody wybielania indywidualnie dostosowane do potrzeb naszych Pacjentów.

  • Do wybielania gabinetowego stosujemy technologię, która spełnia wszystkie normy Unii Europejskiej dotyczące stosowania nadtlenku wodoru, który maksymalnie wynosi 6%.
  • Zimne światło lampy wraz z żelem wybielającym rozjaśnia zęby w przeciągu 60 min średnio o 6-8 odcieni.
  • Żel do wybielania gabinetowego ma w swoim składzie ACP, czyli amorficzny fosforan wapnia, który fantastycznie wpływa na ochronę szkliwa, poprawia jego połysk i gładkość oraz przyczynia się do zmniejszenia nadwrażliwości.
  • Metodę wybielania wybiera i przeprowadza wykwalifikowana higienistka stomatologiczna, która dzięki swojemu doświadczeniu, robi to w sposób skuteczny i bezpieczny.

BONDING

Co to jest bonding?

Bonding – zwany także remodelingiem lub licówką kompozytową bezpośrednią, jest tańszą alternatywą dla estetycznej odbudowy zębów pacjenta tradycyjnymi licówkami i koronami caramicznymi – porcelanowymi.

Co odróżnia bonding od tradycyjnych rozwiązań?

Bonding to odbudowa zęba BEZ WCZEŚNIEJSZEGO SZLIFOWANIA JEGO POWIERZCHNI LUB ZE SZLIFOWANIEM uzgodnionym z lekarzem wg indywidualnych potrzeb pacjenta. Zabieg ten zwany jest bezpośrednią odbudową kompozytową zęba ponieważ lekarz po prostu nakłada materiał kompozytowy na ząb pacjenta.

To nowoczesny i innowacyjny, a przede wszystkimi bezbolesny sposób pozwalający na natychmiastową zmianę wyglądu zębów.

Jakie są zalety takiej metody?

Brak konieczności szlifowania zębów lub szlifowanie ustalone z pacjentem, przez co zaliczamy go do metod addycyjnych – cały proces implementacji materiału odbywa się na powierzchni zębów pacjenta, jest znacznie krótszy niż w przypadku tradycyjnych licówek. Bonding można wykonać na 1 wizycie.

Materiał kompozytowy nakładany jest na zęby bez wcześniejszej ingerencji w ich naturalną strukturę. Cały zabieg jest odwracalny.

Bonding można z czasem wymienić, zamienić lub całkowicie zdjąć zpowierzchni zębów. To wszystko również na 1 wizycie! W każdym momencie pacjent może wrócić do naturalnego wyglądu swoich zębów. Dla większości osób, które decydują się na zabieg, najważniejsze jest bezbolesne przeprowadzenie leczenia zęba. Sam bonding nie wymaga nawet znieczulenia miejscowego.

Serwis bondingu z czasem jest prosty i odbywa się na 1 wizycie czyli bez konieczności dodatkowych wizyt i ponownego wytworzenia jak w przypadku korony czy licówki porcelanowej. Gwarancja udzielana jest na rok.

Jakie są więc wady?

Bonding nie jest tak trwały jak odbudowy porcelanowe. Utrzymuje się na zębach tak jak wypełnienia, w dobrej kondycji do 5lat (w zależności od higieny pacjenta, zgłaszania się na wizyty kontrolne, ewentualne korekty oraz od prawidłowości zgryzu pacjenta i noszenia zalecanych szyn relaksacyjnych). Zarejestrowaliśmy jednak w klinice przypadki noszenia bondingu już 11lat!

W niektórych przypadkach tj duże starcie zębów, zaciskanie i zgrzytanie zębami, nawyki indywidualne pacjentów – awarie w formie uszczerbienia odbudowy zdarzają się niestety częściej.

Bonding jest także mniej estetyczny i higieniczny od porcelany, jednakże na rynku pojawiają się coraz nowsze kompozyty (materiały do tej metody) dając coraz lepsze efekty estetyczne tj polerowalność, naturalność odbudowy, a przy dobrej higienie domowej pacjenta i zgłaszaniu się na higienizacje profesjonalne w gabinecie co 3 miesiące w pierwszym roku i co pół roku w latach następnych – chyba ze lekarz zaleci inaczej (są to także warunki konieczne gwarancji).

bonding zębów